Lithium Disilicate Crowns
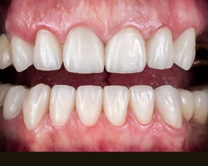
Lithium disilicate crowns are dental restorations made from a glass-ceramic material known for its excellent aesthetic qualities and strength. This type of crown is particularly popular for its ability to mimic the natural translucency and color of tooth enamel, making it a highly desirable option for anterior and some posterior restorations.







%20(23)-1.jpeg?width=300&name=@GRACE%20KIM%20(%EC%82%AC%EC%A7%84%20%EC%BD%9C%EB%9D%BC%EC%A3%BC)%20(23)-1.jpeg)
%20(22).jpg?width=300&name=@GRACE%20KIM%20(%EC%82%AC%EC%A7%84%20%EC%BD%9C%EB%9D%BC%EC%A3%BC)%20(22).jpg)


Advantages of Lithium Disilicate Crowns
Lithium disilicate is highly translucent and can be closely matched to the natural color of teeth. This makes it an ideal material for front teeth where appearance is paramount.
%20(3).jpg?width=300&name=@GRACE%20KIM%20(%EC%82%AC%EC%A7%84%20%EC%BD%9C%EB%9D%BC%EC%A3%BC)%20(3).jpg)
- Exceptional Aesthetics: IPS e.max restorations offer lifelike translucency and a wide range of shades, ensuring natural-looking results suitable for both anterior and posterior teeth.
- High Strength and Durability: With flexural strength ranging from 360 MPa to 530 MPa depending on the material (lithium disilicate or zirconium oxide), IPS e.max is highly resistant to fractures, making it ideal for long-lasting restorations.
- Versatility: Suitable for various applications, including crowns, veneers, inlays, onlays, bridges, and implant restorations. It supports both CAD/CAM and press techniques, ensuring flexibility in clinical use
%20(4).jpg?width=300&name=@GRACE%20KIM%20(%EC%82%AC%EC%A7%84%20%EC%BD%9C%EB%9D%BC%EC%A3%BC)%20(4).jpg)
- Adjustable Translucency
: By adjusting the heat treatment temperature, a single block can achieve various translucency levels such as HT (High Translucency), MT (Medium Translucency), LT (Low Translucency), and MO (Opaque). This enhances inventory management and workflow efficiency. - Natural Aesthetics: Amber Mill effectively replicates the opalescence of natural teeth (bluish in reflected light, yellowish in transmitted light) and fluorescence, providing natural color gradation without additional staining.
Disadvantages of Lithium Disilicate Crowns
While strong, lithium disilicate is not as durable as zirconia. It may not be the best choice for patients with heavy bite forces or bruxism (teeth grinding).
Our recommendation
Lithium disilicate crowns offer a sophisticated and realistic choice for dental restorations, particularly well-suited for visible areas where appearance is crucial. They provide an excellent balance of strength and beauty, although their use may be limited in situations requiring extraordinary durability.
At our dental lab, we are dedicated to providing exceptional services to our dentists, ensuring that each Lithium Disilicate Crown is crafted with precision and care. Our team of skilled technicians utilizes the latest advancements in dental technology to deliver crowns that not only meet but exceed expectations in terms of aesthetics and functionality. We understand the importance of a natural appearance and work meticulously to achieve seamless integration with the patient's existing dental structure. By choosing our lab, dentists can confidently offer their patients restorations that are both durable and visually appealing, enhancing their overall dental experience.
Contact Us
Are you a dentist or a dental practice owner? JU Genesis Lab is dedicated to supporting you in optimizing and enhancing the efficiency of your practice.
LET'S WORK TOGETHER FOR YOUR PATIENTS
Partnering with JU Genesis Lab helps you deliver authentic smiles and enhance your community reputation.